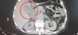
95 viên sỏi túi mật: Bác sĩ cảnh báo nguy hiểm từ thói quen ăn sáng bỏ bữa
Sốc khi lấy ra 95 viên sỏi từ cơ thể người phụ nữ 40 tuổi...
Th6
HSV-1: Virus ẩn mình và nguy cơ bệnh Alzheimer
Mối Liên Hệ Giữa Virus HSV-1 và Bệnh Alzheimer 1. Giới thiệu Nêu vấn đề...
Th6
5 Thói quen Giúp Giảm Nguy Cơ Ung Thư: Chúc Mừng Nếu Bạn Đang Thực Hiện
Giới thiệu Giới thiệu về ung thư Ung thư là một trong những bệnh lý...
Th6
Rau Muống: Siêu Thực Phẩm Dưỡng Da Giàu Vitamin C và Retinol Tự Nhiên
Giới Thiệu Rau muống không chỉ là một món ăn quen thuộc trong bữa cơm...
Th6
Formaldehyde: Nguy cơ tiềm ẩn trong bếp nhà bạn – Kiểm tra ngay để bảo vệ sức khỏe
Formaldehyde – Mối nguy hiểm tiềm ẩn trong căn bếp của bạn Mô tả (Meta...
Th6
Công ty chồng Đoàn Di Băng bị tạm dừng hoạt động kinh doanh mỹ phẩm vì vi phạm chất lượng
Công Ty Chồng Đoàn Di Băng Bị Tạm Dừng Hoạt Động Kinh Doanh Mỹ Phẩm...
Th6
Tăng Cường Đề Kháng Với 5 Bài Tập Đơn Giản Trong 30 Phút Ngày
I. Giới thiệu chung Dịch Covid-19 đang có dấu hiệu quay trở lại, điều này...
Th6
Chiến dịch cao điểm chống hàng giả thực phẩm và y tế 2025
Giới thiệu Tầm quan trọng của việc chống hàng giả trong lĩnh vực thực phẩm...
Th6
Bé Gái 10 Tuổi Bị Bỏng Rát Vì Ôm Sứa Biển Khi Chơi Ở Bãi Biển
Giới thiệu Trong những ngày hè nắng nóng, biển là nơi lý tưởng để trẻ...
Th6
Người phụ nữ 44 tuổi tai nạn lao động, cứu sống kịp thời nhờ phẫu thuật khẩn cấp
Người Phụ Nữ Bị Xe Rác Đè Vỡ Tụy: Một Vụ Tai Nạn Lao Động...
Th6
- 1
- 2
